VAI TRÒ CỦA ĐIỀU TRỊ TẮC MẠCH KHỐI U GAN TRONG ĐIỀU TRỊ UNG THƯ BIỂU MÔ TẾ BÀO GAN
1. Các phương pháp điều trị ung thư biểu mô tế bào gan bằng cách gây tắc mạch khối u.
Điều trị tắc mạch khối u nhằm mục đích gây tắc động mạch cấp máu cho khối u, khiến khối u hoại tử do thiếu máu. Ngoài ra, với sự phát triển của các phương pháp tắc mạch bằng hoá chất hoặc hạt tắc mạch gắn phóng xạ (C-TACE, DEB-TACE, TARE), chúng ta còn có thể đưa hoá chất vào ngay trong động mạch nuôi u, giúp tập trung thuốc điều trị trong khối u mà ít gây ảnh hưởng đến các cơ quan khác trong cơ thể.

Hình ảnh 1: Nút mạch điều trị ung thư biểu mô tế bào gan tại Bệnh viện Ung Bướu Hà Nội.
2. Vai trò của các phương pháp điều trị ung thư biểu mô tế bào gan bằng cách gây tắc mạch khối u
2.1. TACE
Nút mạch hoá chất động mạch gan theo kiểu truyền thống (cTACE) hoặc dùng hạt tải thuốc (DEB-TACE) là kĩ thuật đưa hoá chất điều trị và vật liệu gây tắc mạch vào khối u qua đường động mạch gan, khiến u hoại tử do thiếu nguồn cấp máu, đồng thời giúp hoá chất điều trị được giữ lại trong khối u lâu hơn.
Ưu điểm của TACE và DEB-TACE là giúp bảo tồn nhu mô gan lành so với các phương pháp điều trị triệt căn, đồng thời hạn chế được độc tính của hoá chất so với nhiều phương pháp điều trị toàn thân nhờ tối đa được hiệu quả diệt u mà không làm ảnh hưởng đến các cơ quan trong cơ thể.
2.1.1. Vai trò
- TACE là phương pháp điều trị phổ biến nhất và là điều trị tiêu chuẩn cho nhóm bệnh nhân HCC giai đoạn trung gian.
- Nút mạch cấp cứu chảy máu u gan vỡ.
- Nút mạch tiền phẫu (bridging): giúp giảm kích thước khối u trước điều trị triệt căn.
- Nút mạch hóa chất kết hợp với: RFA/MWA (u >2cm), điều trị toàn thân (điều trị đích, điều trị miễn dịch).
2.1.2. Chỉ định
- Bênh nhân có PS 0-2, Child Pugh A,B.
- U không cắt được, hoặc có nhiều u ở cả hai thùy, chưa có xâm nhập mạch máu và chưa có di căn ngoài gan.
- Các trường hợp u nhỏ nhưng không thể thực hiện đốt u được do vị trí khó hay do có các bệnh lý đi kèm làm tăng nguy cơ biến chứng.
2.1.3. Chống chỉ định
- U gan quá to: thể tích u gan chiếm hơn một nửa thể tích gan.
- Huyết khối tĩnh mạch cửa: hiện nay là chống chỉ định tương đối, tùy từng người bệnh, nếu người bệnh trẻ, chức năng gan còn tốt có thể kết hợp nút siêu chọn lọc và truyền hóa chất động mạch (cysplastin) đối với những trường hợp này.
- Rối loạn đông máu: cần điều chỉnh trước khi can thiệp.
- Xơ gan nặng: Child Pugh C
- Phụ nữ có thai.

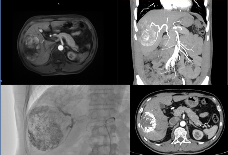
Hình ảnh 2: Khối ung thư biểu mô tế bào gan kích thước 7x11cm, có nhánh mạch nuôi u rõ. Bệnh nhân được nút mạch hoá chất (TACE) tại BVUBHN. Trong quá trình can thiệp u lắng đọng hoá chất tốt, nhánh mạch nuôi u được nút tắc hoàn toàn. Phim chụp kiểm tra sau điều trị cho thấy u hoại tử hoàn toàn, không còn phần tăng sinh mạch và ngấm thuốc
2.2. TARE
Nút mạch bằng hạt vi cầu phóng xạ là kĩ thuật đưa hạt Yttrium-90 (Y90) kích thước từ 20 – 60 micromet vào động mạch cấp máu nuôi u. Khác với cơ chế gây độc tế bào bằng hoá chất của TACE, TARE gây hoại tử u bằng cơ chế gây đứt gãy chuỗi ADN bằng phóng xạ.
So với TACE, hội chứng sau nút mạch bằng TARE nhẹ nhàng hơn, ngay cả với những u có kích thước lớn. Đồng thời, TARE được cho là phương pháp nút mạch tối ưu hơn ở những bệnh nhân có huyết khối tĩnh mạch cửa, do hiện tượng tắc mạch ít hơn.
2.2.1. Chỉ định
- HCC không còn khả năng phẫu thuật, hoặc có chống chỉ định phẫu thuật hay bệnh nhân từ chối phẫu thuật.
- PS ≤ 1, Child-Pugh A, B.
- Shunt lưu thông hoạt tính phóng xạ lên phổi < 20% trên xạ hình Tc-99m MAA.
- Chưa từng xạ trị trước đó vào gan.
2.2.2. Chống chỉ định
- Có luồng thông động mạch gan-phổi (shunt gan-phổi) lớn (> 20%).
- Xơ gan mất bù, bệnh não gan.
- Thể trạng quá yếu, dự kiến thời gian sống thêm dưới 3 tháng.
TÀI LIỆU THAM KHẢO
1. Goyal P, Salem R, Mouli SK. Role of interventional oncology in hepatocellular carcinoma: Future best practice beyond current guidelines. Br J Radiol. 2022;95(1138):20220379. doi:10.1259/bjr.20220379
2. Reig M, Forner A, Rimola J, et al. BCLC strategy for prognosis prediction and treatment recommendation: The 2022 update. J Hepatol. 2022;76(3):681-693. doi:10.1016/j.jhep.2021.11.018
Người viết: BSNT. Đỗ Thái Huy – Khoa Chẩn đoán hình ảnh
Người duyệt: BSCKII. Nguyễn Đình Hướng – Trưởng khoa Chẩn đoán hình ảnh