NGƯỜI ĐÀN ÔNG SÚT GẦN CHỤC CÂN, SUÝT MẤT KHẢ NĂNG ĂN UỐNG DO TỰ ĐIỀU TRỊ UNG THƯ BẰNG THUỐC NAM
Bệnh nhân là anh N.V.M, 55 tuổi, trú tại Phú Xuyên - Hà Nội đang điều trị tại Khoa Nội II – Bệnh viện Ung Bướu Hà Nội. Bệnh nhân nhập viện trong tình trạng nuốt nghẹn gần như hoàn toàn, cơ thể gầy sút, phải mở thông dạ dày để ăn qua sonde.
Anh M. cho biết, mình phát hiện mắc ung thư thực quản vào tháng 9/2019, triệu chứng lúc đó chỉ có nuốt nghẹn ít, chưa có dấu hiệu di căn. Do tâm lý sợ bệnh viện nên thay vì nhập viện điều trị theo chỉ định của bác sĩ, anh M. về nhà uống thuốc nam và một số loại thực phẩm chức năng theo lời mách bảo của nhiều người, song bệnh tình ngày một nặng thêm khiến anh gần như không ăn uống được gì. Sức khỏe yếu, anh phải nghỉ công việc phụ hồ. Chỉ trong thời gian ngắn, đến tháng 1/2020, anh M. đã sút gần chục cân, đứng còn không vững. Đến lúc này gia đình mới động viên được anh đi viện chữa bệnh.
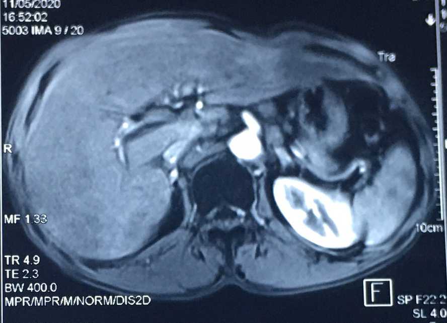
Tại Bệnh viện Ung Bướu Hà Nội, các kết quả cận lâm sàng cho thấy dày thành thực quản 1/3 dưới tạo khối kích thước 5x2.5cm, thâm nhiễm mỡ xung quanh, có nhiều hạch quanh tổn thương, kích thước hạch lớn nhất 2 cm. Đáng nói, ung thư đã di căn gan với ổ lớn nhất đường kính 3 cm. Tại giai đoạn này, các biện pháp điều trị tại chỗ, tại vùng không còn khả thi. Bệnh nhân được chỉ định điều trị hóa chất toàn thân.

Ảnh 1: Hình ảnh di căn gan trước và sau điều trị
Sau chu kỳ đầu tiên, bệnh nhân đáp ứng thuốc và đã có thể nuốt thức ăn. Kết thúc 4 lần truyền, bệnh nhân ăn tốt, tăng cân, đáng mừng hơn là kết quả xét nghiệm không còn thấy tổn thương di căn gan.
Anh M. tâm sự: “Trước khi nhập viện tôi còn tưởng mình sắp chết rồi, mới điều trị mấy đợt thôi mà giờ đã thấy khỏe hơn nhiều lắm. Tôi thấy thật hối hận khi không đi viện chữa ngay từ khi mới phát hiện bệnh.”

Ảnh 2: Anh M. tăng cân và ăn uống tốt hơn nhiều sau 4 chu kỳ hóa chất
Các bác sĩ cho biết, bệnh nhân ung thư thực quản nếu được phát hiện sớm khi chỉ có tổn thương tại chỗ sẽ có thể thực hiện các biện pháp điều trị tại chỗ như phẫu thuật hoặc xạ trị, tiên lượng khả quan. Tuy nhiên, nếu ở giai đoạn muộn, ung thư di căn xa thì phải tiến hành điều trị toàn thân và tiên lượng cũng xấu hơn. Vì vậy, người dân khi thấy có triệu chứng: nuốt đau, nuốt khó, gầy sút cân nhiều, đau họng hoặc lưng, ho kéo dài, nôn, ho ra máu cần đi khám chuyên khoa ung bướu và khi phát hiện bệnh cần điều trị sớm tại cơ sở uy tín, không nên đợi bệnh trở nên nghiêm trọng mới đến viện khiến quá trình chữa trị kéo dài, nặng nề, tốn kém.
BS. Đinh Thị Lan Hương - Khoa Nội II