NẾU BẠN MẮC UNG THƯ THỰC QUẢN
Có những loại ung thư thực quản nào?
Các loại chính của ung thư thực quản là:
- Ung thư biểu mô tế bào vảy: Các tế bào vảy lót bên trong thực quản. Ung thư bắt đầu trong các tế bào này có thể phát triển ở bất cứ đâu dọc theo thực quản.
- Ung thư biểu mô tuyến: Những ung thư này bắt đầu ở các tế bào tuyến. Những ung thư này chủ yếu ở phần dưới của thực quản, gần dạ dày.
Việc điều trị gần như giống nhau cho từng loại. Bác sĩ của bạn có thể cho bạn biết thêm về loại bạn mắc phải.
Làm thế nào bác sĩ biết bạn mắc ung thư thực quản?
Ung thư thực quản thường được phát hiện vì nó gây ra các triệu chứng như khó nuốt, đau ngực, sụt cân, giọng khàn, và ho liên tục. Nếu có các dấu hiệu của ung thư thực quản, có thể cần làm các xét nghiệm dưới đây:
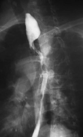
Uống bari: Đây đôi khi là xét nghiệm đầu tiên được thực hiện ở những người bị khó nuốt. Đó là một loạt các phim X-quang được chụp sau khi bạn nuốt bari, một chất lỏng sánh màu trắng có khả năng hiện diện trên phim X-quang. Bất kỳ khối u nào trên lớp lót bên trong của thực quản đều xuất hiện trên phim X-quang.

Uống bari: cho thấy sự tắc nghẽn do ung thư. Nguồn Medscape.com
Nội soi thực quản-dạ dày: Để thực hiện xét nghiệm này, một ống mỏng, linh hoạt với đèn nhỏ và máy quay video ở cuối được đưa vào miệng và đi xuống thực quản và dạ dày của bạn. Nếu có bất kỳ điểm nào trông giống như ung thư, một mảnh mô nhỏ có thể được lấy ra qua ống và kiểm tra ung thư. (Đây được gọi là sinh thiết.)
Chụp CT: Đây còn được gọi là chụp CAT. Nó giống như X-quang, nhưng hình ảnh chi tiết hơn. Điều này có thể cho thấy ung thư ở đâu trong thực quản và xem nó đã lan rộng chưa. Chụp CT cũng có thể được sử dụng để giúp làm sinh thiết (xem bên dưới).
Chụp MRI: Xét nghiệm này sử dụng sóng radio và từ trường mạnh thay vì X-quang để tạo nên bức ảnh chi tiết. Nó có thể được sử dụng để xem liệu các hạch bạch huyết gần đó có bị sưng hay không, điều đó có thể có nghĩa là ung thư đã lan rộng ở đó.
Chụp PET: Chụp PET sử dụng một loại đường có thể nhìn thấy bên trong cơ thể bạn bằng một máy ảnh đặc biệt. Nếu có ung thư, loại đường này xuất hiện dưới dạng "điểm nóng" nơi ung thư được tìm thấy. Nó có thể giúp phát hiện nếu ung thư đã lan tràn.
Xét nghiệm máu: Xét nghiệm máu không được dùng để tìm ung thư thực quản, nhưng được làm bác sĩ có thêm thông tin sức khỏe của bạn.
Sinh thiết
Trong sinh thiết, bác sĩ lấy ra một mảnh mô nhỏ nơi nghi có ung thư. Các mô được kiểm tra xem có tế bào ung thư không. Sinh thiết là cách duy nhất để biết chắc chắn bạn có bị ung thư hay không. Đối với ung thư thực quản, sinh thiết thường được thực hiện trong quá trình nội soi.
Phân độ mô học ung thư thực quản
Các tế bào ung thư được phân độ (một số từ 1 đến 3) dựa trên mức độ chúng trông giống như các tế bào bình thường. Các tế bào trông rất khác so với các tế bào bình thường được phân là độ cao (3) và có xu hướng phát triển nhanh hơn. Biết được độ mô học ung thư giúp các bác sĩ dự đoán ung thư có khả năng phát triển và lan tràn nhanh như thế nào và cũng giúp quyết định phương pháp điều trị nào là tốt nhất cho bạn.
Xét nghiệm Gen và protein
Các tế bào ung thư trong mô sinh thiết có thể được kiểm tra các gen hoặc protein như HER2, PD-L1, MMR và MSI. Biết ung thư của bạn có gen hoặc protein nào có thể giúp bác sĩ quyết định xem các phương pháp điều trị như liệu pháp trúng đích hoặc liệu pháp miễn dịch có thể sử dụng không.
Ung thư của tôi nghiêm trọng đến mức nào?
Nếu bạn mắc ung thư thực quản, bác sĩ sẽ muốn tìm ra nó đã lan tràn bao xa. Đây được gọi là xác định giai đoạn. Biết được giai đoạn sẽ giúp bác sĩ quyết định loại điều trị nào là tốt nhất cho bạn. Ung thư của bạn có thể ở giai đoạn 1, 2, 3 hoặc 4. Con số càng thấp, ung thư càng ít lan tràn. Một con số cao hơn, như giai đoạn 4, nghĩa là ung thư đã nghiêm trọng hơn vì đã lan tràn ra xa thực quản.

Ung thư thực quản 1/3 dưới. Nguồn: Mayoclinic.org
Tôi cần loại điều trị nào?
Có nhiều phương pháp để điều trị ung thư thực quản:
- Phẫu thuật và xạ trị được được sử dụng chủ yếu trong điều trị ung thư tại chỗ. Chúng không gây ảnh hưởng tới phần còn lại của cơ thể.
- Hóa trị liệu, liệu pháp trúng đích và liệu pháp miễn dịch sẽ tác động trên toàn bộ cơ thể. Chúng có thể tiếp cận tế bào ung thư ở hầu hết mọi nơi trong cơ thể.
Bạn có thể nhận được nhiều hơn một loại điều trị. Kế hoạch điều trị phù hợp nhất với bạn sẽ phụ thuộc vào:
- Giai đoạn và độ mô học của ung thư
- Cơ hội mà một loại điều trị sẽ chữa khỏi ung thư hoặc giúp ích theo một cách nào đó
- Tuổi của bạn
- Những vấn đề sức khỏe khác bạn có
- Cảm giác của bạn về việc điều trị và các tác dụng phụ đi kèm với nó
Phẫu thuật ung thư thực quản
Phẫu thuật được sử dụng để cố gắng loại bỏ tất cả khối ung thư nếu nó nhỏ và chưa lan tràn.
Phẫu thuật để cắt bỏ tất cả hoặc một phần của thực quản được gọi là phẫu thuật cắt thực quản. Có nhiều cách để thực hiện phẫu thuật này. Nói chuyện với bác sĩ về những gì sẽ được thực hiện và những gì bạn có thể mong đợi.
Tác dụng phụ của phẫu thuật
Bất kỳ loại phẫu thuật nào cũng có các rủi ro và tác dụng phụ. Hãy hỏi bác sĩ điều gì có thể xảy ra. Nếu bạn có vấn đề khó khăn, hãy cho bác sĩ biết.
Xạ trị
Xạ trị sử dụng các tia năng lượng cao (như tia X) để tiêu diệt tế bào ung thư. Đối với ung thư thực quản, xạ trị có thể được sử dụng đơn độc hoặc cùng với hóa trị. Xạ trị cũng có thể được sử dụng để điều trị các triệu chứng như đau, chảy máu, khó nuốt hoặc các vấn đề khác xảy ra nếu ung thư thực quản đã phát triển rất lớn hoặc đã lan sang các khu vực khác như xương.
Có 2 phương pháp xạ trị chính có thể được sử dụng.
- Tia xạ có thể được nhắm vào thực quản từ một máy bên ngoài cơ thể. Điều này được gọi là bức xạ chiếu ngoài. Loại này được sử dụng thường xuyên nhất cho ung thư thực quản. Điều trị này gần giống như chụp X-quang, nhưng với bức xạ mạnh hơn.
- Xạ trị áp sát là một loại bức xạ khác. Để làm điều này, bác sĩ sử dụng một ống nội soi (một ống dài và đàn hồi) để đặt các mảnh phóng xạ nhỏ gọi là nguồn phóng xạ vào vị trí rất gần với khối ung thư. Nguồn phóng xạ sẽ được lấy ra khi điều trị được thực hiện xong.
Tác dụng phụ của xạ trị
Nếu bác sĩ đề nghị xạ trị, hãy hỏi về những tác dụng phụ có thể xảy ra. Tác dụng phụ phụ thuộc vào loại xạ trị bạn được nhận. Các tác dụng phụ phổ biến nhất của bức xạ là:
- Thay đổi da nơi chiếu xạ
- Cảm giác rất mệt mỏi
- Buồn nôn và nôn
- Các vết loét đau nhức trong miệng và cổ họng
- Khô miệng hoặc nước bọt đặc
Hầu hết các tác dụng phụ sẽ nhẹ đi sau khi điều trị kết thúc và rất nhiều trong số chúng có thể được điều trị. Một số có thể kéo dài lâu hơn. Hãy nói cho bác sỹ biết điều bạn có thể mong đợi.
Hóa chất
Hóa chất là viết tắt của Liệu pháp hóa trị – nghĩa là sử dụng thuốc để điều trị ung thư. Thuốc có thể được tiêm truyền vào tĩnh mạch hoặc uống dưới dạng viên. Các loại thuốc này đi vào máu và lan khắp cơ thể. Hóa chất được đưa vào cơ thể theo chu kỳ hoặc đợt. Sau mỗi đợt điều trị sẽ là một khoảng thời gian nghỉ. Điều này giúp cơ thể có thời gian phục hồi. Trong hầu hết thời gian, bệnh nhân sẽ được dùng từ 2 loại thuốc hóa chất trở lên. Điều trị thường kéo dài nhiều tháng.
Bệnh nhân sẽ được điều trị đồng thời cả hóa trị và xạ trị nhiều lần. Điều này được gọi là hóa xạ trị.
Tác dụng phụ của hóa chất
Hóa chất có thể khiến bạn cảm thấy mệt mỏi, buồn nôn, đau bụng, hoặc gây ra rụng tóc. Nhưng những vấn đề này sẽ hết sau khi điều trị kết thúc. Có nhiều cách để điều trị hầu hết các tác dụng phụ của hóa trị.
Liệu pháp nhắm trúng đích có thể được sử dụng cho một số loại ung thư thực quản nhất định. Những loại thuốc này ảnh hưởng chủ yếu đến tế bào ung thư và không ảnh hưởng đến tế bào bình thường trong cơ thể. Các thuốc này có thể có tác dụng ngay cả khi các phương pháp điều trị khác không còn tác dụng. Những thuốc này có những tác dụng phụ khác với hóa chất.
Liệu pháp miễn dịch là phương pháp điều trị giúp tăng cường hệ thống miễn dịch của cơ thể hoặc sử dụng các phiên bản nhân tạo của các phần của hệ miễn dịch để tấn công các tế bào ung thư thực quản. Thuốc điều trị miễn dịch có thể được truyền vào tĩnh mạch.
Những tác dụng phụ của liệu pháp miễn dịch
Liệu pháp miễn dịch có thể gây ra nhiều tác dụng phụ khác nhau tùy thuộc vào thuốc được sử dụng. Những loại thuốc này có thể khiến bạn cảm thấy mệt mỏi, đau bụng, buồn nôn hoặc gây phát ban. Hầu hết các vấn đề này sẽ hết sau khi kết thúc điều trị. Có nhiều cách để điều trị hầu hết các tác dụng phụ do liệu pháp miễn dịch gây ra. Nếu bạn gặp tác dụng phụ, hãy nói chuyện với nhóm chăm sóc ung thư của bạn để họ có thể giúp đỡ.
Những điều trị khác cho ung thư thực quản
Có những loại điều trị khác có thể được sử dụng cho ung thư thực quản. Có rất nhiều phương pháp điều trị được thực hiện qua một ống nội soi (một ống dài, đàn hồi) đưa xuống cổ họng và vào thực quản. Các phương pháp này có thể được sử dụng để chữa ung thư hoặc giảm bớt các vấn đề gây ra bởi ung thư.
Thử nghiệm lâm sàng
Thử nghiệm lâm sàng là các nghiên cứu thử nghiệm các loại thuốc mới hoặc các phương pháp điều trị khác ở người. Thử nghiệm lâm sàng là một cách để có được phương pháp điều trị ung thư mới nhất. Chúng là cách tốt nhất để các bác sĩ tìm ra những cách tốt hơn để điều trị ung thư. Nếu bác sĩ của bạn có thể tìm thấy một thử nghiệm đang nghiên cứu loại ung thư bạn mắc phải, thì việc tham gia hay không là tùy thuộc vào bạn. Và nếu bạn đăng ký thử nghiệm lâm sàng, bạn luôn có thể dừng lại bất cứ lúc nào.
Những phương pháp khác mà tôi nghe nói đến thì sao?
Khi bạn bị ung thư, bạn có thể nghe về những cách khác để điều trị ung thư hoặc điều trị các triệu chứng của bạn. Đó có thể không phải lúc nào cũng là phương pháp điều trị y tế tiêu chuẩn. Những phương pháp điều trị này có thể là vitamin, thảo mộc, chế độ ăn đặc biệt, và những thứ khác. Một số phương pháp điều trị này được biết là hữu ích, một số đã được chứng minh là không giúp được gì. Một số ít thậm chí đã được phát hiện là có hại. Hãy nói với bác sĩ của bạn về bất cứ phương pháp nào bạn đang nghĩ đến việc sử dụng, cho dù đó là vitamin, chế độ ăn uống hay bất cứ thứ gì khác.
Điều gì sẽ xảy ra sau khi điều trị?
Ngay cả khi ung thư không bao giờ tái phát, mọi người vẫn lo lắng về nó. Trong nhiều năm sau khi điều trị kết thúc, bạn sẽ gặp bác sĩ ung thư. Hãy bảo đảm đi khám định kỳ đầy đủ. Bác sĩ sẽ hỏi về triệu chứng, thăm khám, và có thể chỉ định xét nghiệm máu, nội soi, hoặc chụp CT. Lúc đầu, lịch khám của bạn có thể là 3 đến 6 tháng một lần. Sau đó, càng lâu bạn không bị tái phát, các lần tái khám sẽ thưa hơn.
Nguồn: Dịch từ www.cancer.org Hiệp hội Ung thư Hoa kỳ
Đường dẫn: https://www.cancer.org/cancer/esophagus-cancer/if-you-have-esophagus-cancer.html
Biên dịch: Bs. Nguyễn Thành Hiếu, Khoa Nội 2, Bệnh viện Ung bướu Hà Nội
Hiệu đính: Ths. Bs. Nguyễn Thanh Hằng – Phòng HTQT&NCKH