KHÁM PHÁT HIỆN SỚM UNG THƯ VÚ: XIN ĐỪNG XEM NHẸ!
Giống như những bệnh ung thư khác, bệnh UTV là gánh nặng về tinh thần và tài chính cho bệnh nhân, gia đình và toàn xã hội. Bệnh phát hiện càng muộn, khả năng chữa khỏi hoàn toàn sẽ giảm dần, đi kèm với nhiều khó khăn trong điều trị và tốn kém trong chi phí. Theo Hiệp hội Ung thư Hoa Kì, tỷ lệ sống còn 5 năm của bệnh nhân UTV ở giai đoạn I là xấp xỉ 100%, trong khi đó ở giai đoạn IV chỉ còn 22%. Điều này có nghĩa là nếu phát hiện bệnh ở giai đoạn muộn, sau 5 năm, cứ 5 bệnh nhân thì chỉ còn một người sống sót.
Đối với bệnh UTV giai đoạn sớm, khối u nhỏ, khu trú, tuyến vú có thể được phẫu thuật bảo tồn, phẫu thuật tạo hình, tái tạo lại hình dáng ban đầu, giúp nâng cao chất lượng cuộc sống đáng kể cho người bệnh. Với những bệnh nhân UTV giai đoạn sớm đã mãn kinh, một số trường chỉ cần phẫu thuật cắt tuyến vú, vét hạch nách và điều trị thuốc nội tiết. Người bệnh không phải trải qua quá trình điều trị hóa chất, xạ trị mệt mỏi, tốn kém và nhiều tác dụng phụ, chất lượng sống và thời gian sống được cải thiện.

Hình minh họa: bệnh nhân sau phẫu thuật cắt toàn bộ vú trái (ảnh trái)
so sánh với bệnh nhân được bảo tồn vú phải (ảnh phải)
Phát hiện sớm ung thư là mục tiêu và cũng là ý nghĩa của các chương trình tầm soát ung thư quốc gia. Điều này nhằm chẩn đoán sớm bệnh lý ung thư, tăng cơ hội sống còn cho người bệnh, giảm thiểu chi phí trong quá trình điều trị. Các chuyên gia đưa ra khuyến cáo về tầm soát UTV như sau:
- Tất cả phụ nữ trong độ tuổi sinh đẻ (từ 18 tuổi trở lên) nên tự khám vú thường xuyên nhằm phát hiện sớm những dấu hiệu bất thường.
- Phụ nữ trong độ tuổi 20-30 nên khám chuyên khoa 3 năm/ lần, từ 40 tuổi trở lên nên khám 1 năm/ lần.
- Phụ nữ trên 40 tuổi nên tầm soát UTV bằng siêu âm tuyến vú hoặc chụp X-quang tuyến vú 1 năm/ lần.
- Phụ nữ có yếu tố nguy cơ cao mắc UTV nên siêu âm tuyến vú, chụp X-quang vú và chụp cộng hưởng từ tuyến vú 1 năm/ lần.
Yếu tố nguy cơ cao mắc UTV bao gồm: tiền sử gia đình có người mắc UTV hoặc ung thư buồng trứng, tiền sử có kinh sớm (trước 12 tuổi), mãn kinh muộn (sau 55 tuổi), thường xuyên sử dụng thuốc tránh thai hoặc nội tiết estrogen thay thế, không sinh con hoặc sinh con muộn sau 30 tuổi, chế độ ăn nhiều chất béo, mỡ động vật, ít vận động, hút thuốc lá, uống rượu bia thường xuyên v.v. Việc hạn chế tiếp xúc với các chất gây ung thư để tránh không khởi phát bệnh ung thư còn gọi là phòng bệnh bước 1, trong khi sàng lọc phát hiện sớm những dấu hiệu của bệnh gọi là phòng bệnh bước 2.
Vậy tầm soát ung thư nghĩa là gì? Tầm soát UTV bao gồm: khám lâm sàng, siêu âm vú, chụp X-quang tuyến vú và chụp cộng hưởng từ (MRI) tuyến vú. Mục đích nhằm phát hiện sớm và điều trị sớm bệnh lý ung thư.
- Khám lâm sàng: bác sỹ khám bệnh kết hợp hỏi bệnh, quan sát, thăm khám bằng tay để phát hiện những tổn thương nghi ngờ, tính chất, kích thước, thời điểm xuất hiện v.v.
- Siêu âm vú là xét nghiệm thường quy, giúp đánh giá chính xác hơn về kích thước, bản chất những khối u hoặc hạch kích thước nhỏ, có thể bị bỏ sót khi thăm khám bằng tay. Đây là xét nghiệm có chi phí rẻ, dễ thực hiện, nhanh có kết quả.

Hình minh họa: tổn thương u vú phát hiện thấy trên siêu âm tuyến vú
- Chụp X-quang vú (mammography): là phương pháp dùng một lượng tia X nhỏ để ghi lại hình ảnh của tuyến vú nhằm phát hiện những bất thường hoặc những khối u vú, đặc biệt là các vi vôi hóa khi chưa sờ thấy u qua thăm khám.

Hình minh họa: tổn thương vi vôi hóa ở vú phát hiện khi chụp X-quang
(Nguồn: commons.wikipedia.org)
- Chụp cộng hưởng từ vú (MRI) là phương pháp hiện đại, hiệu quả, an toàn, ghi lại hình ảnh rõ nét của những khối u vú, đánh giá chính xác kích thước, độ xâm lấn của u.
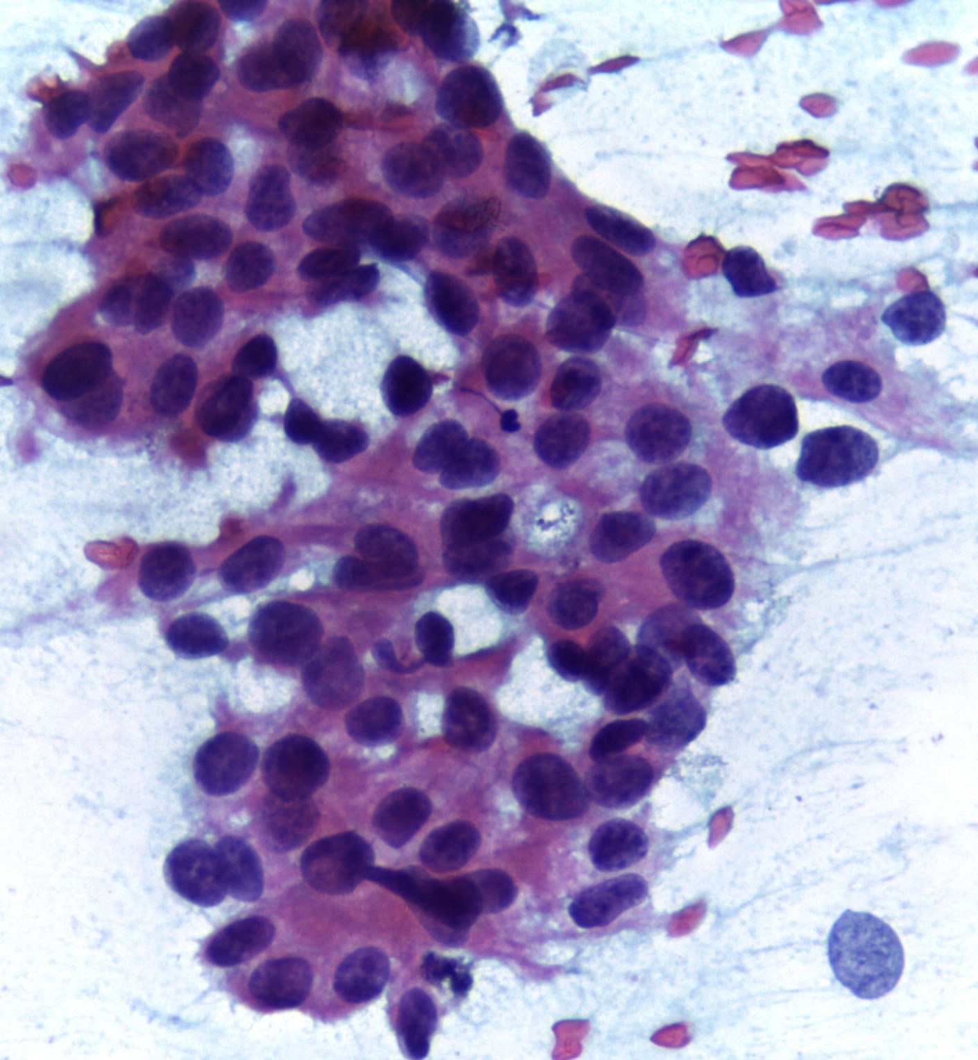
- Xét nghiệm tế bào bằng kim nhỏ (FNA): khi phát hiện tổn thương nghi ngờ, bệnh nhân có thể được chỉ định làm xét nghiệm tế bào học. Bác sĩ chuyên khoa Giải phẫu bệnh - tế bào sẽ sử dụng một chiếc kim vô trùng, tiếp cận tổn thương và thu thập mẫu bệnh phẩm, bệnh phẩm này được phân tích trên kính hiển vi để tìm kiếm tế bào ung thư.
Hình minh họa: tổn thương ung thư vú phát hiện trên xét nghiệm tế bào học
(Nguồn: commons.wikipedia.org)
Bệnh viện Ung bướu Hà Nội từ lâu là địa chỉ tin cậy cho người dân đến khám tầm soát các bệnh ung thư nói chung cũng như UTV nói riêng. Tại đây chúng tôi có đầy đủ các máy móc, trang thiết bị hiện đại, cùng đội ngũ nhân viên y tế được đào tạo bài bản với thái độ ân cần, hòa nhã, luôn cố gắng nâng cao chất lượng chuyên môn trong công tác khám, chữa bệnh. Bệnh viện có gói tầm soát đầy đủ nhằm phát hiện sớm UTV bao gồm xét nghiệm chất chỉ điểm khối u, siêu âm, chụp X-quang tuyến vú cùng những xét nghiệm chuyên sâu khác. Hãy đến với chúng tôi để được thăm khám và nhận được lời tư vấn từ các bác sĩ chuyên khoa Ung bướu có kinh nghiệm.
Chúc các bạn có sức khỏe tốt!
Người viết: ThS.BS. Chu Thị Thu Huyền - Khoa Nội Vú, Phụ khoa, Đầu cổ TYC
Người duyệt: TS.BS. Lê Thu Hà - Trưởng khoa Nội I